注明:五金冲压件外观检测设备,均需在影像下清晰可见才能检测。检测效率:每分钟检测数量 不低于300件(取决于产品送料速度)。
商务咨询:178-5603-5060(微信同号)
一、检测内容及要求
检测内容:
最大尺寸长15mm*宽15mm*高1mm的产品的外观检测
|
序号 |
检测位置 |
检测方式 |
是否可检 |
|
1 |
缺口 |
正光检测 |
可检 |
|
2 |
批锋 |
正光检测 |
可检 |
|
4 |
粘连 |
正光检测 |
可检 |
注明:以上检测项目,均需在影像下清晰可见才能检测。
检测效率:每分钟检测数量 不低于300件(取决于产品送料速度)。
二、设备组成及主要机构
设备型号:SP-T300非标定制机 外形尺寸:900*800*1850mm
组成部件清单:
|
序号 |
部件名称 |
规格型号 |
数量 |
备注 |
|
1 |
视觉检测软件 |
SIPOTEK |
1套 |
数据可上传 |
|
2 |
工业电脑 |
SIPOTEK定制 |
1套 |
|
|
3 |
显示器 |
PHILIPS 19”液晶显示器 |
1台 |
|
|
4 |
工业相机 |
SONY工业相机 |
1套 |
|
|
5 |
相机调节伺服模组 |
SIPOTEK定制 |
1套 |
|
|
6 |
工业镜头 |
FA高清光学工业镜头 |
1套 |
|
|
7 |
光源 |
定制光学自适应光源 |
1套 |
|
|
8 |
检测平台 |
专业光学玻璃载台 |
1套 |
|
|
9 |
伺服电机 |
松下·PANASONIC |
1套 |
|
|
10 |
控制系统 |
SIPOTEK定制 |
1套 |
|
|
11 |
PLC运动协作 |
松下·PANASONIC |
1套 |
|
设备外观3D立体图


三、样件测试图片:
顶部背光检测原图:

顶部背光检测良品分析图:OK

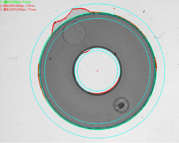
顶部背光检测不良品分析图:NG 不良特征: 缺口 分析结果:可检

顶部背光检测不良品分析图:NG 不良特征:批锋 分析结果:可检

顶部背光检测不良品分析图:NG 不良特征: 粘连 分析结果:可检

四、系统安装要求:
设备放置的检测空间: 安装思普泰克视觉检测系统的标准检测设备,需要保证有足够的空间以安装设备。
环境温度: 0-50摄氏度;
空气湿度: 90% RH以下;
电子干扰: 为设备提供电子干扰较小的地方。
电源: 交流220V,50Hz, 耗电<1KVA。
获取更多产品机器视觉自动化检测方案可登陆安徽思普泰克网站查阅:www.sipoah.com